PRÍSTROJOVÉ VYBAVENIE
***AIR FLOW MASTER PIEZON
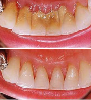
prístroj pred a po ošetrení práca koncovky-voda+prášok+vzduch
AIR FLOW MASTER PIEZON
umožňuje dokonalé, BEZBOLESTNÉ odstránenie povrchového hlbokého plaku, pigmentácii a nového zubného kameňa, bez poškodenia skloviny zuba. Je to metóda mechanického odstránenia pigmentácii zo zubov, pomocou jemného prášku, prúdu vody a vzduchu. Prášok je špeciálne upravený na mikroguličky tak, že nepoškodzuje povrch skloviny. Pieskovaním dokážeme vyčistiť aj medzizubné priestory.
Tento prístroj vám umožní získať úsmev bez zažltnutých zubov od fajčenia, kávy a iných pigmentujúcich látok a obnoví prirodzenú belosť vašich zubov. Šetrne ošetrí povrch cementu koreňa zuba u pacientov s parodontitídou unikátnou patentovanou technológiou Perio-Flow pomôže k stabilizácii parodontitídy.
Výhodné je vyčistenie zubov pred pečatením jamiek a rýh, bielením zubov a zhotovením výplne. Air-Flow dokáže dokonale vyčistiť zuby aj pacientom s fixným čeľustno-ortopedickým aparátom (strojčekom).
Ultrazvuková časť je vybavená najmodernejšou technológiou Piezon so svetelným LED násadcom. Predohrieva vodu na 37st. Celzia, pre lepší komfort pacienta, čím sa ošetrenie stáva BEZBOLESTNÝM aj na obnažených koreňoch a krčkoch zubov...
*** Prophy Mate -neo

*** Zatavovačka MILLLSEAL MOCOM
Zatavovačka Millseal Mocom zabezpečuje jednoduché a bezpečné zatavovanie obalov s nástrojmi pre sterilizáciu. Zvar široký 12mm zaručuje dlhú trvanlivosť. Všetky nástroje, ktoré používame na ošetrenie, sú zatavované do sáčkov a následne pripravené na sterilizáciu.
*** Sternweber SW 17


Sternwebwr SW 17 je parný sterilizátor triedy B s kompletne elektronickou kontrolou riadenou mikroprocesorom. Má systém vakua pre kompletné odstránenie vzduchu aj z dutých a poréznych materiálov, vďaka parnému generátoru, je každý cyklus rýchly a s úsporou vody. Záverečná fáza sušenia pod tlakom umožňuje maximálnu bezpečnosť sterilizácie a efektivitu. Prístroj spĺňa normy EU a na ambulancii zabezpečujeme pravidelné testovanie jednotlivých cyklov.
*** Destilačný prístroj Stillo

Destilovaná nebo demineralizovaná voda je potrebná pre prevádzku parných sterilizátorov a stomatologických súprav Stillo má nepochybne veľa výhod - úsporu času oproti nákupu destilovanej vody, veľmi nízku cenu produkovanej vody, vysokú kvalitu a nezávislosť pri práci.

Woodpecker U600 LED
Piezoelektrický ultrazvuk s najnovším bezbolestným generatorom PAINLESS. Kompatibilný s EMS. Prístroj s krúživými vibráciámi a novým LED násadcom s kvalitným výkonom. Dotykové ovládanie, vodeodolný dizajn, funkcie: scaling, perio, endo a feedback control.